反复腰痛,一直以为是“阳康”,没想到竟是“血癌”



回顾起前段时间的日子,小傅说只能用“天崩地裂”四个字来形容。年纪轻轻仅有25岁的他竟查出了“血癌”——急性白血病。
他的确诊几乎延误了1个月的时间,也给大家敲醒了警钟。
 

1个多月以前,小傅的家人感染了新冠病毒检出“阳性”,他也很快“中招”。但令他郁闷的是,除了感冒发烧等症状如期而至外,他还出现了剧烈的腰痛。
“感觉就像被捅了一刀一样,痛得不能走路,”小傅说当时上网查了一下,发现许多人都有类似的脊柱关节痛,于是就吃了几片止痛药缓解。
 
一周过后,家人陆续阳康、症状好转,小傅的症状反而持续加重。“难道是阳康后遗症?”过段时间之后,他到附近医院急诊就诊,排除了主动脉疾病可能,肺部CT、采血检查后均未发现明显异常。
但是,回家后小傅反复腰痛一直没有缓解,没办法正常走路。就这样又过了半个月,小傅换了一家医院就诊。检查发现,快速C反应蛋白指标非常高,考虑重症感染,感染部位不明确,医生建议到上级医院检查。

最后,小傅立即来到浙大四院就诊,终于解开了谜团。
血液科朱晓琼医师在门诊中发现,患者血小板稍低于正常范围,还出现贫血,粒细胞减少,淋巴细胞升高。结合患者有腰痛症状,一种不好的预感涌上心头。
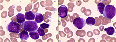
朱晓琼医师立即加急做了血细胞形态检查。果然,在外周血中见到了大量异常细胞,“显微镜下观察到,外周血中含有大量的未成熟的幼稚细胞,这种情况下要高度怀疑白血病,还需要骨髓穿刺检查最终确诊。”

第二天一大早,浙大四院血液内科立即安排小傅完成了骨髓穿刺,骨髓室医师加急染色处理,当天下午就给出结论,“急性淋巴细胞白血病”。
 
听到诊断,小傅一家如遭雷击,一直以为是新冠感染的腰痛,万万没想到居然是白血病。
“你们用1天的时间,解决了我们1个月的疑问。”缓过激动的情绪后,小傅的父母很快镇定下来,对医师表达感谢,此后陪伴小傅积极接受治疗。
什么是急性淋巴细胞白血病?
急性淋巴细胞白血病是急性白血病的一种类型,白血病细胞来源于淋巴系统,好发于儿童和青年人身上。
 
白血病细胞会在骨髓内异常增生和聚集,从而抑制正常造血,导致贫血、血小板减少和中性粒细胞减少。疾病范围较广泛,往往累及身体多个部位如口腔和皮下、鼻腔,还有呼吸道以及消化系统,甚至威胁生命。
急性白血病患者若不经过及时治疗,平均生存期仅3个月左右,因此早期发现十分重要。
出现哪些症状时需警惕白血病?
急性白血病发病较急,其典型的4个症状是发热、出血、进行性贫血以及骨关节疼痛。
♦贫血
白血病最常见的症状之一,随病情进展而加重,表现为苍白、无力、头晕、心悸、厌食、浮肿等。
♦出血
出血部位分布广泛,以皮肤、黏膜最常见,表现为皮肤瘀点、瘀斑、齿龈及鼻出血等。
♦发热
发热常为首发症状,但热型不定,发热主要原因是白血病本身所致,发热用抗生素治疗无效,在诱导治疗72小时内可缓解。
♦骨关节疼痛
白血病浸润引起的骨痛通常比较剧烈,部位不固定,主要见于四肢骨、脊柱和骨盆,游走性不明显。
 

医生提醒,目前,急性淋巴细胞白血病的病因还不是很明确,考虑跟遗传、长期接触化学物质和电离辐射、不良的生活习惯以及病毒感染有关。当出现上述异常症状时,请及时到医院就诊。
浙大四院血液内科
拥有独立的骨髓穿刺室、骨髓形态学诊断室、血液细胞分离治疗室。可完成骨髓形态学、病理学,分子生物学及二代测序、细胞遗传学、免疫学等检验检查,对包括急性白血病在内的血液系统疾病具有较高的诊断水平,是浙江省白血病重点科技创新团队浙中区域中心,在急性白血病/骨髓增生异常综合征的化疗、综合治疗等方面拥有丰富的经验,承担区域内急性早幼粒细胞白血病等危重症的救治。
原创
供稿:血液内科医师 朱晓琼
审核:陈丹、王芳
责编:南瓜
扫下方二维码预约挂号



✦✦


【阅读推荐】
直击热点:义乌“两会”中的浙四声音
大家牵肠挂肚的3岁溺水宝宝,奇迹康复出院
移动数字医院 | 兔年第一站,义乌上溪我们来了!
【医千零一问】PSA升高是前列腺癌?没有症状的反而更加危险
【医千零一问】“阳康”后耳朵闷闷的???这个动作能缓解
期待你的
分享
点赞
在看
到顶部