继续操作前请注册或者登录。

斯里兰卡惊现全球最大肾石 认清7大症状 预防这样做



监制/平门  编辑/项娇 校对/小雯
这是奈普格公众号的第729篇健康推文
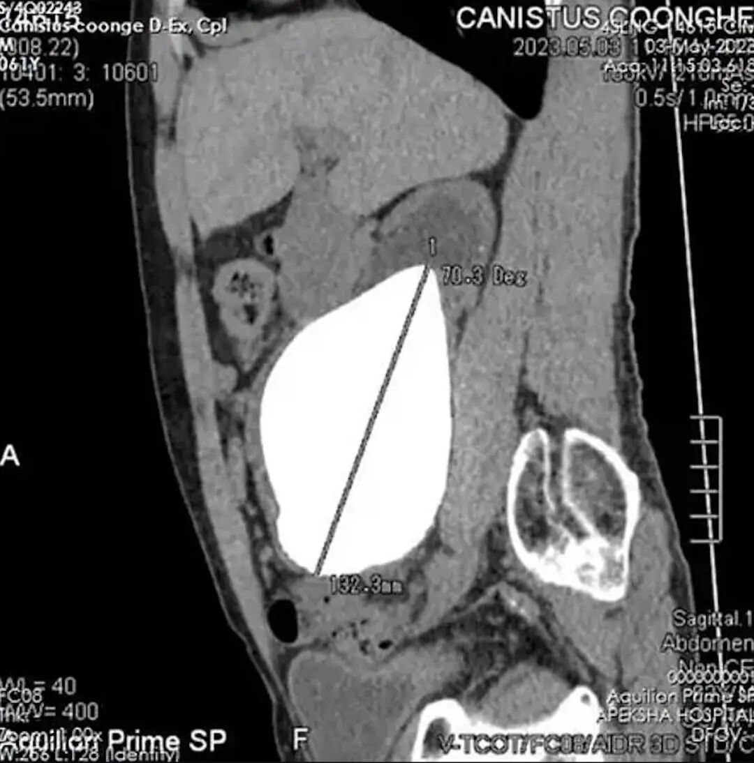
近日,一名来自斯里兰卡62岁的退役老兵经手术将体内的肾结石取出,这颗肾结石长约13.372厘米、重达801克,是有纪录以来全球最大最重,其大小更打破健力士世界纪录。肾结石是常见都市病,在30至60岁人士患症的情况尤其普遍,大约每10人就有1个人患有肾结石,到底肾结石是如何形成?想要预防又可以点做?



肾结石是如何形成?
肾结石的形成主要与尿中的某些物质浓度过高,如钙、草酸、尿酸、钠有关,这些物质可以在肾脏中结晶形成结石。具体来说,以下是肾结石形成的一般过程:
高浓度的尿液中某些物质的浓度超过了其最大可溶解度,就会开始结晶形成颗粒。
2. 结晶通常是由钙、草酸、尿酸、钠等物质组成的,而这些物质在尿液中的浓度过高可能是由于饮食、水分摄取不足等原因导致。
3. 结晶颗粒逐渐增大,形成肾结石。肾结石可以在肾脏内形成,也可以随着尿液流动到较窄的尿管、膀胱和尿道,产生阻塞和疼痛等症状。
除了饮食、水分摄取不足等原因外,其他可能导致肾结石形成的因素还包括遗传、肾脏异常、代谢异常、某些疾病或手术等。
当你出现以下症状时,就可能已患有肾结石:
1)背痛、腹痛或侧面痛(side pain)
肾结石痛,也被称为肾绞痛,是指一般当结石进入窄的输尿管,造成阻塞令肾脏压力增加,而出现的痛楚。通常肾绞痛都出现得十分突然,当结石移动,出现痛楚的位置和强度都会有所改变。
痛楚一般类似波浪反复出现,当输尿管尝试将结石推出,并收缩时,就会令痛楚恶化。每一次的痛楚可能会维持几分钟,消失后,又再次出现。大的结石造成的痛楚可比小结石更大,不过痛楚的强度不一定和结石的大小有关,小的结石移动或造成阻塞时,也可造成痛楚。
2)小便灼热或出现痛楚
当结石到达输尿管和膀胱的交界处时,排尿时就感到痛楚。你可能会感到刺痛或灼热,有些人可能误以为是泌尿道感染。有时出现结石时,也可能会同时出现泌尿道感染。
3)经常尿急
当你发现自己去厕所,相比平日变得频繁或更急时,或是另一个警号。这可能表示肾结石移动到泌尿道更下的位置,因此你或发现自己需要频频上厕所。而尿急这个症状,也和泌尿道感染症状相似。
4)血尿
血尿(Hematuria)也是肾结石患者的常见症状之一。血尿的颜色可以是红色、粉红色或啡色,显微镜下血尿的红血球细胞或太小,无法使用肉眼分辨,因此如你有类似情况,应咨询医生并进行检查。
5)尿液混浊或带有臭味
健康的尿液应该清澈,并不应带有强烈的味道。尿液混浊或带有臭味,可能是肾脏或是泌尿道其他地方受感染的症状。2013年的研究发现,患有急性肾结石的患者中,大约8%有泌尿道感染。
尿液混浊是脓尿(pyuria)的症状之一。尿液带有臭味,可能是由引起泌尿道感染的细菌所造成,也有可能是由于尿液比平时更浓所造成。
6)尿量稀少
大的肾结石,有时会在输尿管受阻塞,并可令尿液流动减慢,甚至暂停。如你出现阻塞的问题,每次排尿时,尿量或会变得十分少。而如果你发现排不出尿时,应马上紧急求医。
7)恶心或呕吐
恶心或呕吐为肾结石患者常见的症状之一。肾结石可触发消化道的神经,引起胃部不适。加上,恶心或呕吐也可能是身体对强烈痛楚所产生的反应。
8)发烧或发冷
肾脏受感染或泌尿道其他部份受感染,可能会出现发烧或发冷的症状。这也可能是肾结石的严重并发症,亦可能是身体有其他更严重问题的征兆。因此,如你出现任何发烧,并伴随疼痛,应马上求医。
受感染造成的发烧,一般都为高烧,38°C(100.4°F)或以上,通常会伴随发冷或发抖。
预防肾结石 6个日常习惯
1. 保持足够的水分摄取
多喝水是预防肾结石的最好方法。每天摄取足够的水分可以增加尿液的产量,减少尿液中某些物质的浓度,从而减少肾结石的形成风险。柠檬水和橙汁也是不错的选择。它们都含有柠檬酸盐,可以防止结石形成。建议每天饮用6-8杯水,或者根据个人体重和活动量调整水分摄取量。
您可以通过查看尿液的颜色来判断您是否水分充足——它应该是透明的或淡黄色的。如果天黑了,你需要多喝水。
2. 适量摄取含钙丰富的食物
最常见的肾结石类型是草酸钙结石,导致许多人认为他们应该避免吃钙。但现代的研究表明,摄取足够的钙质可以减少肾结石风险,因为钙质可以与草酸结合形成不溶性的钙草酸盐。建议摄取含钙丰富的食物,如牛奶、豆腐、芝士等。
3. 减少摄取钠
高盐饮食会增加患钙肾结石的风险。根据美国泌尿外科护理基金会的说法,尿液中过多的盐分会阻止钙从尿液中重新吸收到血液中。这会导致高尿钙,从而可能导致肾结石。少吃盐有助于保持较低的尿钙水平。尿钙越低,患肾结石的风险就越低。
4. 减少摄取富含草酸盐的食物
草酸盐是肾结石形成的主要成份之一,摄取过多的草酸盐会增加肾结石的风险。建议减少摄取富含草酸盐的食物,如菠菜、咖啡、巧克力、花生及豆制品等。
草酸盐和钙在到达肾脏之前在消化道中结合在一起,因此若你同时食用高草酸盐食物和富含钙的食物,结石就更难形成。
5. 减少摄取动物蛋白
摄取过多的动物蛋白会增加尿液中尿酸的浓度,进而增加肾结石的风险。因此,建议减少摄取动物蛋白,如肉类、家禽、鱼类等。
6. 避免过量补充维生素C
过量补充维生素C会增加尿液中草酸盐和尿酸的浓度,进而增加肾结石的风险。

版权声明:本文为奈普格整理编辑,欢迎转发朋友圈,任何公众号或其他媒体转载须提前联系小编并注明“本文来源于【奈普格】(ID:NPG_China)。


免责声明:本公众号只为客户提供疾病资讯服务和健康咨询(非诊疗服务),任何关于疾病的咨询建议均为参考意见,不作为诊断及医疗依据;专业医学诊治问题请咨询医生或医疗机构,本公众号和咨询医师不承担由咨询行为引起的法律责任。
来都来了,用您的金手指在下边点个「赞」和「在看」再走嘛~~~

到顶部