37岁男子肝衰竭、肝脏出现多颗大泡泡! 脂肪肝还做1件事难怪肝脏受重伤



监制/平门  编辑/项娇 校对/小雯
这是奈普格公众号的第902篇健康推文
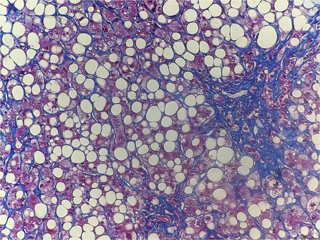
一位37岁肥胖男性,原本就有脂肪肝病史,因失业在家,心情不好而整日借酒浇愁,之后腹部闷胀不适,且皮肤越来越黄,经肝脏切片检查,发现多个大颗泡泡状结构,肝脏被大量脂肪细胞浸润,有肝脏衰竭的情况, 有脂肪肝者,短时间内大量喝酒,容易使肝细胞受到重伤害。
这位患者经检查时发现肝指数过高,诊断酒精性肝炎收住院治疗。入院后病人接受营养与白蛋白补充,但他的黄疸指数持续攀升,追踪性B超发现大量腹水,引流腹水效果不好,有肝脏衰竭的情况; 之后血中病毒及自体免疫检查,报告皆呈现阴性,在住院两个礼拜不见好转的状况下,帮病人进行肝脏切片检查。病理结果排除感染或自体的因素,倒是在显微镜底下,可见多个大颗泡泡状结构,肝脏被大量脂肪细胞浸润,符合脂肪肝的诊断; 经治疗后病人的精神食欲渐渐恢复,肝指数也慢慢地往下降,终于在一个月后顺利出院。脂肪肝不但可以引发肝指数上升,在感染、压力、酗酒、或药物中毒的情况下,甚至可以造成肝衰竭,危及一个人的生命。除了肥胖与代谢综合征,饮酒是导致脂肪肝的重要因素,尤其是短时间内大量喝酒,容易使肝细胞受到重伤害; 如果一开始就受到太大的伤害,会拉长肝脏复原的时间,有研究指出,可以用低剂量类固醇,治疗尚未变成肝衰竭的酒精性肝炎,但大多数人对支持性治疗是有反应的。一般来说,脂肪肝不需要用病理切片诊断,但对于持续且严重的肝炎患者,肝脏切片检查可以确定病因; 遇到困难与瓶颈时,沈溺于酒精或药物并无法解决问题,寻求适合你的社会资源协助,你可以走出低谷,重新拥抱肝甜人生。 

版权声明:本文为奈普格整理编辑,欢迎转发朋友圈,任何公众号或其他媒体转载须提前联系小编并注明“本文来源于【奈普格】(ID:NPG_China)。


免责声明:本公众号只为客户提供疾病资讯服务和健康咨询(非诊疗服务),任何关于疾病的咨询建议均为参考意见,不作为诊断及医疗依据;专业医学诊治问题请咨询医生或医疗机构,本公众号和咨询医师不承担由咨询行为引起的法律责任。
来都来了,用您的金手指在下边点个「赞」和「在看」再走嘛~~~

到顶部